If you are diagnosed with a tumor, you will need a medical team to stand by you and help you combat it with the latest treatments and technologies, providing you with the physical and emotional support you need throughout your treatment journey. Amal Center is the premier center in Egypt and the Arab world for treating cancer patients.
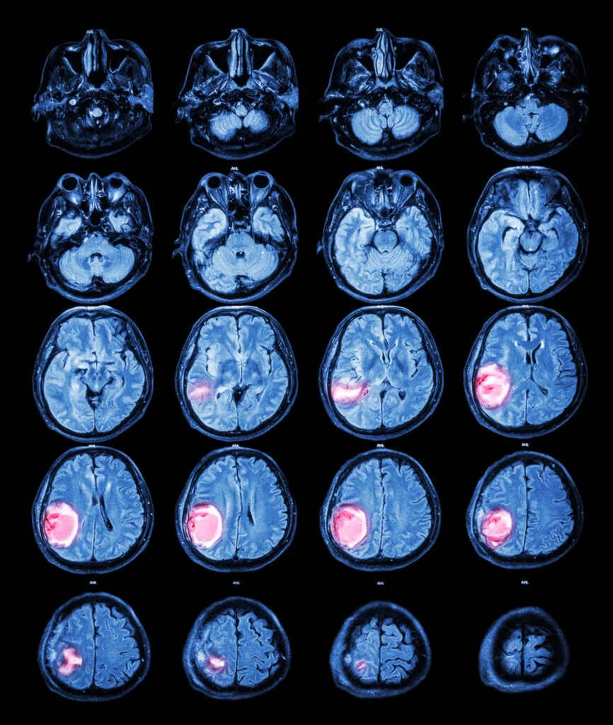
Tumors are abnormal cell proliferation in the body and constitute a broad category of cancerous diseases. Tumors consist of cells that grow and multiply abnormally, continuing to grow irregularly and out of proportion to healthy body tissue. Tumors are generally divided into two main types: benign tumors and malignant tumors.
                            Benign tumors are a non-cancerous type of tumor. They usually do not spread to other organs in the body, or they may spread very slowly. Benign tumors are usually not dangerous, but we note that if they increase in size and put pressure on an important organ in the body, they can cause some damage.
It is worth noting that if the tumor is removed, it usually does not return.
While the second type of tumor, pre-benign tumor, indicates that the tumor is not cancerous, but it can transform into a malignant tumor at any moment, so it must be constantly monitored.
Malignant tumors are cancerous tumors that often spread to another organ in the body due to rapid cell growth, which is often life-threatening.

There are several differences between benign and malignant tumors, the most important of which are the following:
There are several factors that can increase the risk of developing tumors. These factors are usually general, such as fatigue, stress, lack of sleep, poor diet, smoking, alcohol consumption, and other factors. Furthermore, there are genetic factors that can make an individual more susceptible to the risk of developing tumors.
Therefore, if these genetic factors are present, a person should be sure to undergo regular checkups and visit a specialist doctor regularly to detect the disease early and thus increase the chances of recovery.
                            
                        As we mentioned, tumors are abnormal formations in the body resulting from the abnormal growth of cells. As we also mentioned, tumors can be either benign or malignant.
Symptoms of tumors vary depending on the type, location, and size of the tumor. In general, the most important symptoms include the following:
It's important to note that these symptoms are non-specific and can be shared with many other non-cancerous conditions. Therefore, if you experience any of these symptoms or suffer from any persistent health problems, you should consult a doctor to assess your condition and conduct the necessary tests.
The importance of early diagnosis of tumors lies in helping to accurately determine the degree of disease progression. It's worth noting that stage IV is the last and most dangerous stage of cancer, meaning the tumor has spread to many areas of the body and is therefore difficult to control.
While stage I is the easiest stage of cancer, if the disease is detected in this stage, it increases the chances of recovery and complete recovery from the tumor.
                            
Tumor treatment depends on several factors, including the type, size, stage, and extent of tumor spread, as well as the patient's general health. Generally, tumor treatment methods include the following:
The tumor is surgically removed as much as possible. It should be noted that the surgical procedure is determined based on several factors, most importantly the size, location, and spread of the tumor.
Radiation therapy is used to target and destroy cancer cells.
Chemotherapy is used to control the growth and destruction of cancer cells. Chemotherapy can be used independently or in combination with surgery or radiotherapy.
Targeted therapy is used to target specific receptors on the surface of cancer cells and prevent their growth and spread.
Immunotherapy enhances the body's immune system's response to fight cancer cells. Immunotherapy is used to treat some types of cancer, such as breast cancer, lung cancer, and kidney cancer.
